Cytomegalia

Cytomegalia – przyczyny, objawy, leczenie

Cytomegalia to choroba zaliczana do chorób wirusowych. Powstaje w konsekwencji zarażenia wirusem CMV który atakuje głównie gruczoły ślinowe. W większości przypadków u zdrowych osób infekcja przebiega bezobjawowo i organizm sam ją eliminuje. U osób z ograniczoną odpornością konsekwencje cytomegalii mogą być bardzo niebezpieczne.

Wirus cytomegalii(ang. Cytomegalovirus – CMV) jest swoisty dla ludzi. Po raz pierwszy został wyizolowany ze ślinianki chorego noworodka w 1956 roku.

Szacuje się, że 60-80% mieszkańców Europy Środkowej jest nosicielami wirusa cytomegalii. Wśród ciężarnych mieszkanek Europy obecność wirusa na początku ciąży stwierdza się w 45% przypadków.

Cytomegalia – przyczyny

Coraz częstsze występowanie wirusa cytomegalii w populacji wynika z łatwego rozprzestrzeniania się zakażenia. Może do niego dojść w konsekwencji kontaktu ze śliną chorego, moczem, nasieniem, wydzieliną pochwy, poprzez transfuzję krwi oraz przeszczepy narządów. Najczęściej do zakażenia wirusem CMV dochodzi w okresie dzieciństwa, w żłobku lub przedszkolu oraz w okresie dorastania – w szkole.

Szacuje się iż wśród noworodków cytomegalia jest jednym z najcięższych zakażeń wirusowych. Wymienia się dwie główne drogi zakażenia dziecka:
– od matki chorującej w czasie ciąży przez łożysko lub szyjkę macicy,
– przy porodzie, gdy noworodek przechodzi przez kanał rodny.

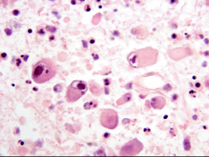
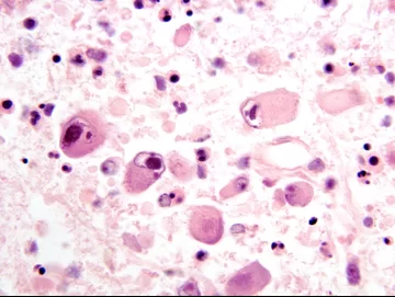
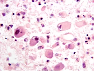
Cytomegalia to choroba wirusowa, którą wywołuje cytomegalowirus. Jakie są konsekwencje tego ataku? Otóż zaatakowana komórka ponadnaturalnie zwiększa swój rozmiar, a przy tym wewnątrz jej jądra oraz w cytoplazmie pojawiają się bardzo charakterystyczne wtręty, po których cytomegalowirus najczęściej bywa rozpoznawany.

Aż trudno uwierzyć ale przyjmuje się iż w Europie za nosicieli cytomegalowirus uznaje się nawet do osiemdziesięciu procent jej mieszkańców, natomiast w Stanach Zjednoczonych o podobnej sytuacji można mówić w odniesieniu do sześćdziesięciu procent przedstawicieli amerykańskiego społeczeństwa. Natomiast w krajach rozwijających się, niemal każdy człowiek jest nosicielem cytomegalowirusa.

Będąc nosicielem cytomegalowirusa nie oznacza to że aktywuje się on w naszym organizmie. Aby doszło do aktywacji muszą zaistnieć określone przesłanki takie jak znaczny spadek oporności organizmu, ciąża itp.

Cytomegalia – objawy

W przypadku około 80% populacji nosiciele cytomegalii nie jest świadomy istnienia wirusa we własnym organizmie gdyż nie daje żadnych objawów. Organizm człowieka jest w stanie samodzielnie zwalczyć chorobę pod warunkiem iż jest odpowiednio silny.

Wśród najbardziej charakterystycznych objawów pierwotnej postaci cytomegalii wymienia się w szczególności:
– biegunki,
– silny kaszel,
– katar,
– stany podgorączkowe,
– znaczne powiększenie węzłów chłonnych,
– silny i nagły ból głowy,
– ogólny spadek formy.

W wielu przypadkach powyższe objawy są mylnie interpretowane jako grypa i w konsekwencji skutkują późnym rozpoznaniem choroby. W wielu przypadkach zakażenie cytomegalią mylone jest również z mononukleozą, której początkowe objawy są praktycznie identyczne.

Cechą szczególną która powinna spowodować niezwłoczną wizytę u lekarza powinien być długookresowy ból gardła i ból węzłów chłonnych szyi – tak zazwyczaj objawia się zaawansowane stadium choroby. Obok tych symptomów, u zakażonego wirusem występuje również znaczne powiększenie wątroby i śledziony, co można zdiagnozować tylko poprzez specjalistyczne badania. W skrajnych przypadkach może dojść także do zapalenia siatkówki oka, jagodówki, zapalenia jelit, wątroby i nerek, zapalenia płuc oraz przełyku.

Wirus cytomegalii zawsze powiększa zainfekowaną komórkę o jakieś 40%.

Najgorszym przypadkiem w stadium chorobowym odnotowuje się gdy organizm nasz ma znacznie osłabioną odporność. Może ona powstać w konsekwencji przybyłych infekcji ale także różnego typu przeszczepów czy zachorowań na HIV.

CytomegaliaSzczególnie ostrożne muszą być również kobiety ciężarne. Ryzykiem niebezpieczeństwa ze strony wirusa cytomegalii obarczone są również noworodki, ale także niemowlęta oraz najmłodsza grupa dzieci. W zależności od dynamiki choroby oraz ilości objawów konieczne jest szybkie podjęcia leczenia wirusa i obranie konkretnej metody jego zwalczania.

Cytomegalia – leczenie

W większości przypadków cytomegalii nie diagnozuje się ponieważ przebiega bezobjawowo. W celu potwierdzenia stanu chorobowego lekarz specjalista może zlecić wykonanie badania krwi i moczu. Niejednokrotnie dodatkowo zleca się badania serologiczne które pozwalają wykryć obecność przeciwciał IGg I igM, które świadczą o przebyciu zakażania. Badania te nie należą do grupy badań podstawowych kobiet w ciąży.

Osoby zdrowe, nie mające problemów z układem odpornościowym nie muszą się leczyć, ponieważ organizm sam zwalcza wirusa.

W przypadku zachorowania niemowląt jako podstawę stosuje się lek hamujący rozmnażanie wirusa i uniknięcie zmian zapalnych mózgu i gałki ocznej gancyklovir. Ma on jednak także sporo skutków ubocznych dlatego bardzo wnikliwie należy rozpatrzeć jego podanie dziecku. Zaleca się w szczególności by chore dziecko przebywało w szpitalu ok. 2 tygodni. Nieco dłużej leczy się cytomegalię układu nerwowego. Dziecko z cytomegalia musi być pod stałą opieka lekarza do ukończenia pierwszego roku, ponieważ wirus może się ponownie uaktywnić.

Dodaj komentarz

Twój adres e-mail nie zostanie opublikowany. Wymagane pola są oznaczone *